用心呵护,诠释“治愈之力”

ProPet 60 尊享版

兽用彩色多普勒超声诊断系统

动物是人类最亲密的朋友和最值得信赖的伙伴。哈哈体育官网也一直致力于探索动物专用的超声影像解决方案。 全新推出的ProPet系列,是哈哈体育官网在动物超声影像智能化、专业化、精准化的一次跨越式革新。动物不能用言语来表述自己的不适,通过超声影像,ProPet系列搭建了动物医生与不同物种沟通的“桥梁”,为动物医生注入了“治愈之力”。

广告

ProPet 60 作为一款高端台式动物超声设备,为动物医生的日常诊断提供了一系列贴合动物临床需求、解决临床实际问题的高级成像功能。凭借全系列高清探头,满足医生对腹部、心脏、生殖、浅表、肌骨等成像的所有需求,切实帮助您提升检查效率,提高诊断信心。

专业的动物影像专用软件

ProPet 60专为动物医生设计,对不同的动物体型和生理结构作出了针对性的优化。通过动物影像专用软件,可满足个性化的应用需求,帮助动物医生获得更精确的诊断数据。

  • 灵活直观的预设检查模式

    只需一次点击,即可从动物类型、探头以及预设组合列表中轻松选择最佳的应用条件。

  • 个性化定制的动物预置

    可为特定应用场景自定义预设动物类型和相应的动物检查图标。

  • 专业的动物信息页面管理

    为动物医生使用环境量身定制,包括动物名称、物种分类、动物品种、绝育情况等。

  • 全面的动物体标与注释库

    针对宠物、马科、农场动物、实验室动物和异宠等20多种动物种类,预置丰富的动物注释及动物体标库;

4T血流成像 微察秋毫

融合不同血流成像技术的优势,即可以提升血流成束性,同时可提高血流的视觉敏感性。

PDI 能量多普勒血流

提供高灵敏度和空间分辦率的血流图像,获得更加真实和丰富的诊断信息。

SR Flow 高分辨率血流成像

能够清晰显示细小、低速血流图像,获取传统彩色多普勒技术难以得到的细节和信息。

Micro F 显微血流成像

通过创新的Matrix E自适应滤波器和超长时间域算法,极大提升超低速微细血流的检出能力,同时更精准地滤除软组织和噪声信号,为兽用医生提供以往无法通过常规血流获得的疾病诊断信息。

Bright Flow 立体血流成像

在传统二维血流成像的基础上,呈现血流的立体感,具有动感的生命力之美。精确区分不同血管的空间关系,提高了血流的视觉敏感性。

心脏解决方案

ProPet 60 配备了丰富的心脏探头群、先进的成像技术和专业的心脏测量工具,可帮助动物医生为不同体型和生理结构的动物提供心脏和心肌功能的全面评估。

  • TDI 组织多普勒成像

    实时用颜色表示心肌组织运动,观察和定量组织的运动情况,对快速检测与评估心肌的灌注和活性、电传导及心肌收缩和舒张功能等均能提供重要的诊断信息。

  • MQA 心肌定量分析

    通过心肌识别技术与二维斑点追踪技术相结合,对心脏的超声图像进行量化分析。计算心肌17个节段的应变、应变率、速度、位移等,并通过牛眼图的形式进行呈现。

  • AMM 解剖M型

    通过360度任意调节3条M型取样线,在同一心动周期上观察心脏不同位置的运动曲线,得到准确的心功能测量数据,有效评估心肌运动及左心室功能。

  • Stress Echo 负荷超声心动图

    具备多种协议可选,同时支持17阶段划分法和专业的SE报告。

舒适的用户体验

ProPet 60 将从工作流,操控性,远程医疗等方方面面为您带来亲近、友好、便捷的操作体验,竭尽所能简化您的工作流程。

  • Sono-Trans PC 直传

    可实现PC端与超声机器的快速连接,将动物超声检查图像、视频或报告通过有线或无线快速传输。帮助简化动物医生工作流程,提升工作效率。

  • Sono-Drop 智联Show

    可实现移动端与超声机器快速无线连接,宠物主可下载共享动物超声检查图像,记录动物的生长轨迹。

  • 智联Expert 远程会诊系统

    一键发起远程会诊,可将超声设备的屏幕信息实时共享至移动端,帮助动物医生进行远程医疗咨询和指导。

优异的基础图像

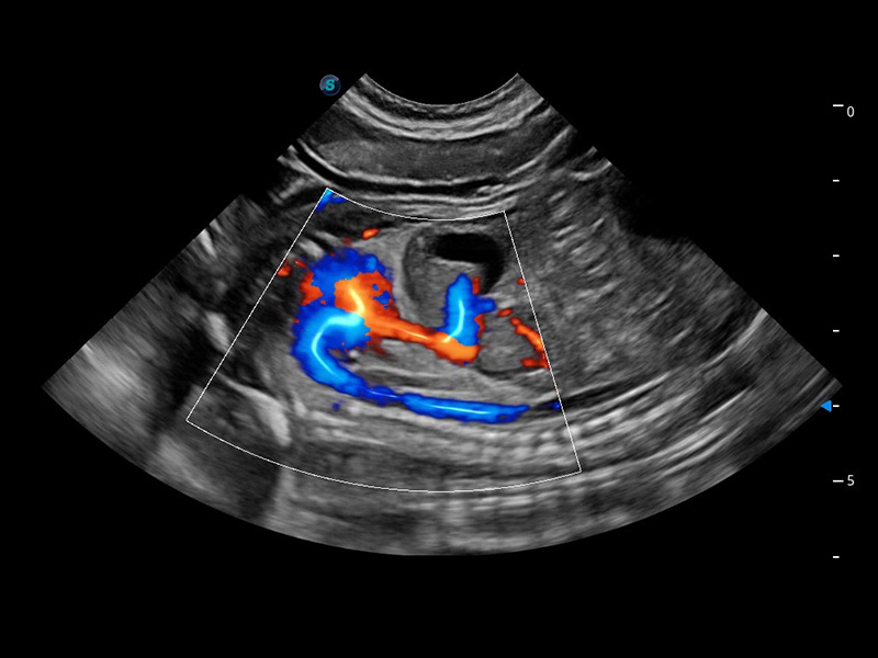
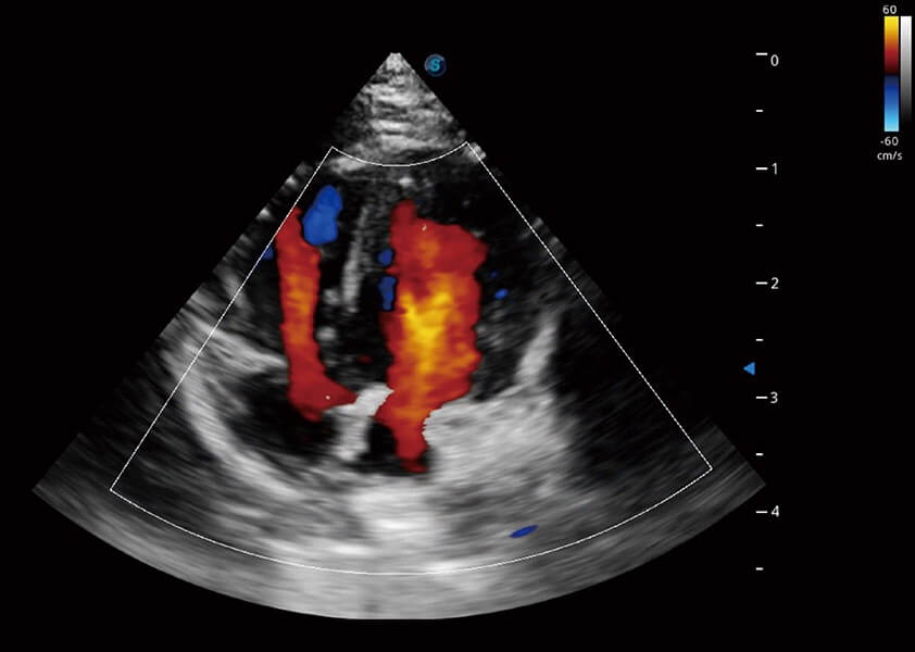
(犬)四腔心血流

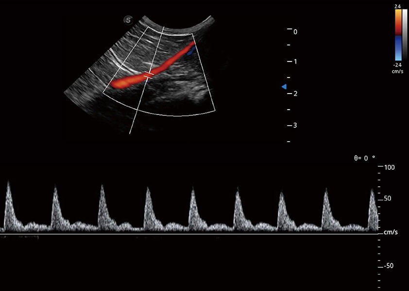
(猫)髂动脉血流频谱

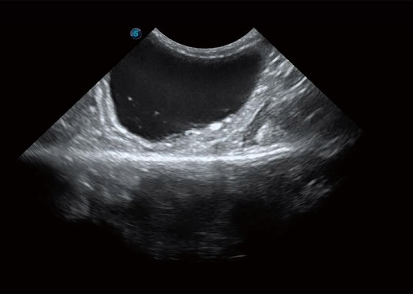
(犬)胆囊泥沙

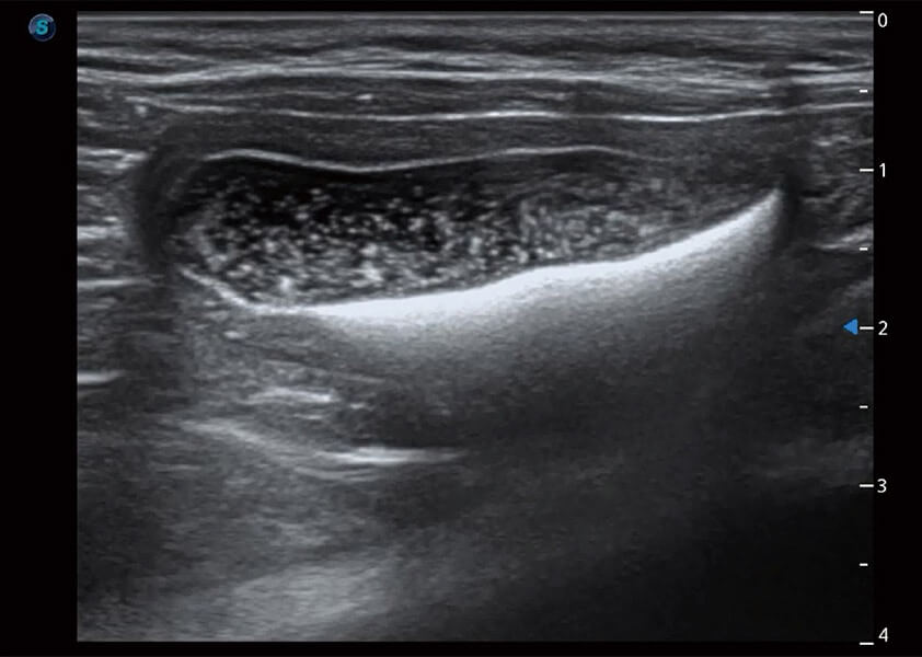
(猫)膀胱结晶

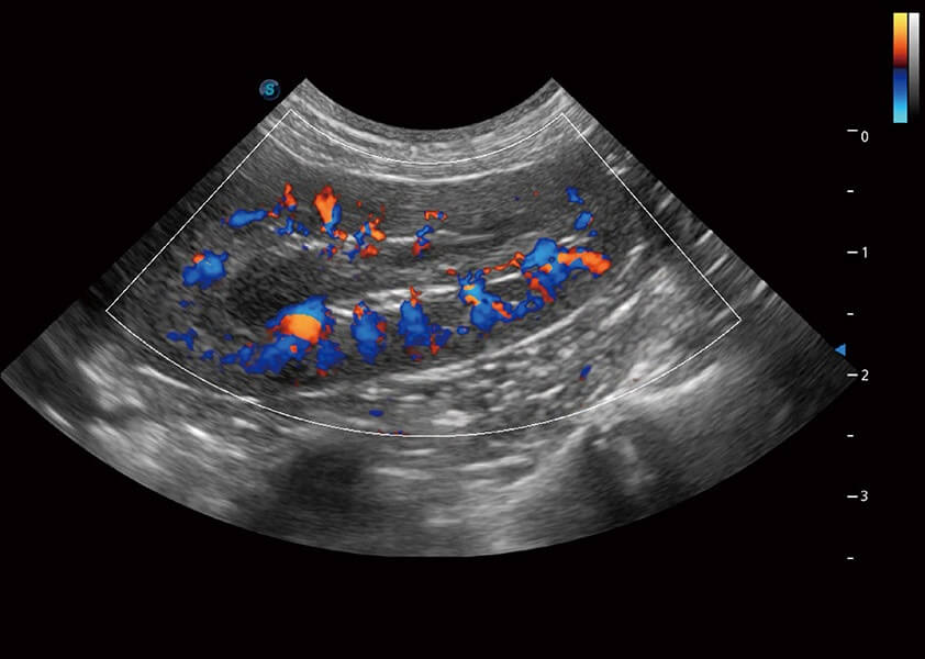
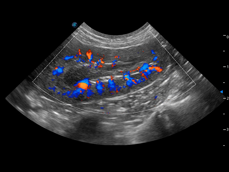
(犬)肾脏血流

(犬)心脏组织多普勒

(犬)乳头肌短轴

(猫)二尖瓣M型